CASE
INTRODUCTION
症例紹介
両側の尿管結石と診断された猫
他院様より、両側の尿管閉塞疑いでご紹介いただきました。
プロフィール
動物種:猫
品種:MIX(日本猫)
年齢:8歳齢
性別:雄 体重:7.2kg
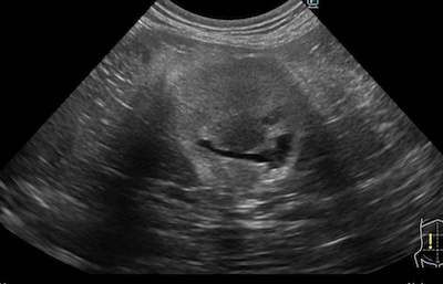
診察・検査結果
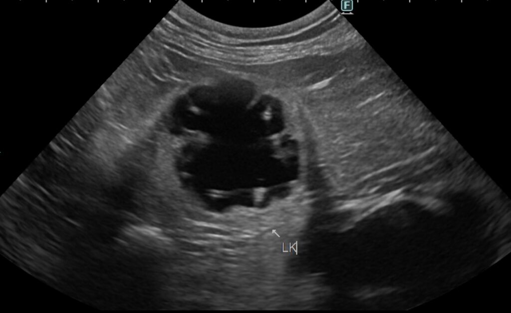
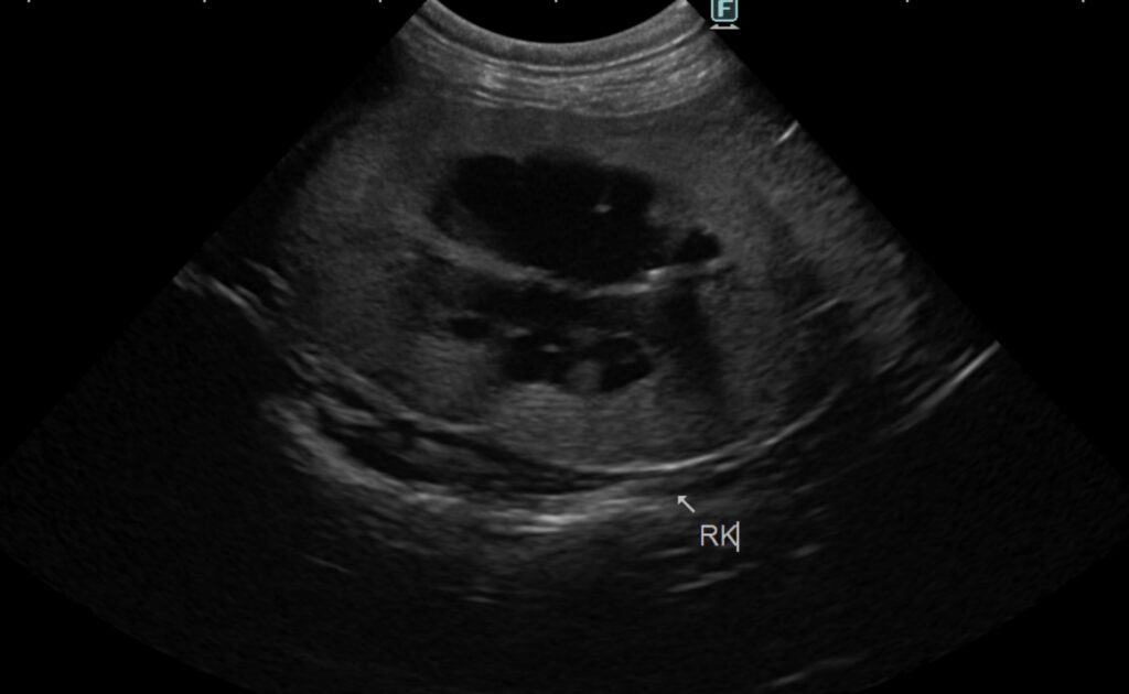
エコー検査より、両側の重度腎盂拡張、右腎臓の尿管拡張の所見が認められる。
右腎臓は6cm大に腫大、左腎臓は2cmに萎縮。
また血液検査では、BUN134(↑)、Cre14.9(↑)と重度の腎数値上昇が認められた。
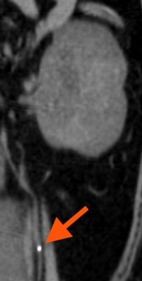
全身麻酔下でのCT検査では尿管結石あり(右 1.0mm、左2.0mm程度)。




診断
尿管閉塞(両側とも結石による)
右:不完全閉塞、腎代償性肥大を伴う
左:完全閉塞、萎縮重度のため機能不全を疑う
治療
右側:尿管膀胱新吻合、腎瘻チューブ設置
左側:尿管切開、腎瘻チューブ設置
以下、術中の写真です(閲覧注意)
↓
↓
↓




↓
↓
↓
右側の腎臓は比較的尿管が拡張していたのと、拡張部位から膀胱までのテンションに余裕があったため、結石摘出後、摘出部から近位尿管を膀胱に吻合しました。 左の腎臓は皮質の菲薄化が重度であるため機能回復は乏しいと考え、尿管を切開して摘出・縫合するのみとしました。
右尿管からは1.0mm、左尿管からは2.5mm程度の結石をそれぞれ摘出しました。
左右の腎臓には術後の尿の迂回路として腎瘻チューブの設置を行いました。
術後経過はその時の治療内容や患者の経過によって様々ですが、一般的には手術部位が安定するまで3〜7日程度腎瘻チューブを設置しています。 術後は点滴による水和管理、電解質異常の是正、疼痛管理、栄養管理などを行いながら体力の回復を待ちます。
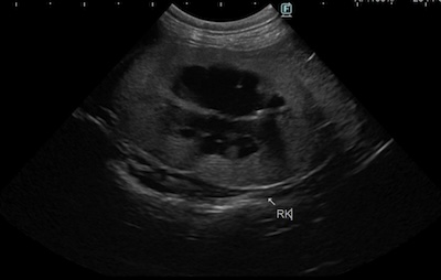
術前、術後のエコー比較

↓


↓

腎瘻チューブ抜去後、尿路の疎通が問題がないことを確認して退院としました。
猫の尿管結石はほとんどが「シュウ酸カルシウム」という溶けない結石ですが、現在の治療では完全な予防は難しく、今後も結石の再発などによる尿路閉塞は起こり得ます。
当院では閉塞の状況や結石の個数、また患者の年齢や状態に応じて術式を選択しています(尿管切開術、尿管膀胱新吻合術、腎瘻チューブ、SUBシステムなど)。
発症してからどれだけ迅速に処置(腎盂拡張への対処)できるかで、尿管閉塞の予後は大きく変わっていきます。 特に無尿になっているケースでは命に関わる危険性も高いため、早めの専門機関への受診をおすすめいたします。