CASE
INTRODUCTION
症例紹介
心膜腹膜横隔膜ヘルニアの犬のケース
かかりつけ様から、繰り返す血尿、胸部の腫瘤様病変の精査でご紹介いただきました。
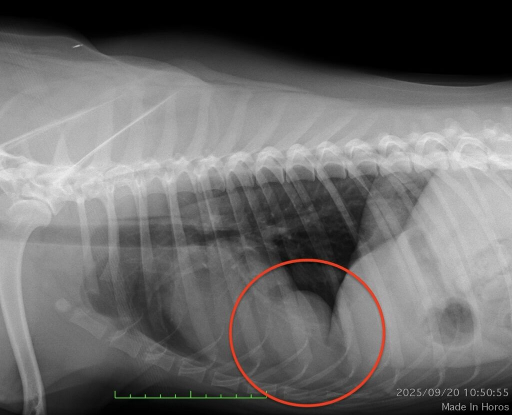
胸部の病変はレントゲン検査で偶発的に見つかったもので、麻酔下でのCTを含めた精密検査を行いました。
プロフィール
動物種:犬
品種:ボーダー・コリー(20kg)
年齢:3歳齢
性別:メス(未避妊)
身体検査では特に異常なし。

心臓尾側にmass様の陰影を認める。
診察・検査結果
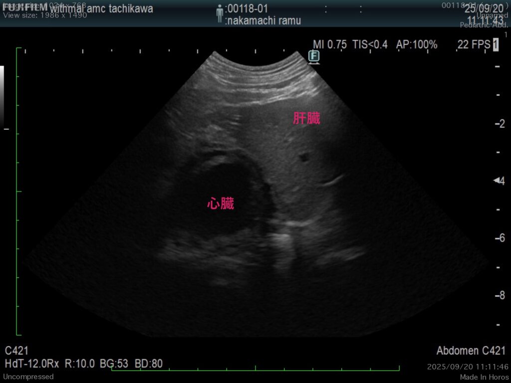
エコー検査、CT検査にて胸腔内(心臓尾側)に肝臓実質(方形葉)が脱出。
尿検査では細菌性の膀胱炎あり。また、身体検査で外陰部低形成を認める。


診断
・心膜横隔膜ヘルニア
・再発性の細菌性膀胱炎
治療
横隔膜内に開いている穴を確認し、慎重に肝臓を整復していきます。
※以下、術中の写真です(閲覧注意)
↓
↓
↓


臓器を整復した後は、横隔膜の穴を縫合していきます。 今回は癒着などもほとんどない状態でしたので、比較的侵襲少なく処置を終えることができました。

↓
↓
↓
組織の癒着や胸水(心嚢水)貯留がある場合など、胸膜炎が激しい場合はこの後胸腔チューブを設置して術後管理をおこなっていきます。(今回は使用しませんでした)

術後は3日ほど入院して安静にしてもらい、元気に退院していきました。
考察
心膜腹膜横隔膜ヘルニアは、通常の外傷性横隔膜ヘルニアとはちがい先天性の疾患になります。 今回は無症状で偶発的に見つかった子の手術ケースでしたが、術前から臨床症状(元気消失や、呼吸器症状など)を伴う場合には手術のリスクや合併症なども多くなってきます。
すべての症例ではっきりとした臨床症状があるわけではありませんが、特に症状との関連が疑われる場合には早めの受診をおすすめしています。
外陰部低形成(陥凹外陰部)手術について


今回の治療のメインではありませんが、飼い主様から手術のご希望をいただいたためこちらも同時に行いました。外陰部はあまり普段からまじまじと観察しない部位ですが、外陰部低形成が比較的若齢犬での再発性細菌性膀胱炎の原因になる場合があります。 手術としては余剰な皮膚を切除して、正常な外陰部の位置・形に形成します。

手術前と比べ、しっかりと外陰部が露出されるようになりました。 これによって陰部周囲皮膚炎の予防となったり、膣内に尿が残留しづらくなったります。 手術前は1~2ヶ月に一度膀胱炎(血尿)が再発していましたが、現在術後5ヶ月目で特に再発はなく良好にコントロールできています。