CASE
INTRODUCTION
症例紹介
子宮蓄膿症と診断されたトイ・プードルのケース
下痢と嘔吐、陰部からの出血で近医様からご紹介された症例です。
プロフィール
動物種:犬
品種:トイ・プードル
年齢:5歳齢
性別:メス
主訴・診察内容
数日前から下痢と嘔吐があり、陰部から出血している。
近医様からのご紹介により来院。
診察・検査結果
外陰部より排膿あり。
血液検査でWBC数値の上昇、CRPの上昇。
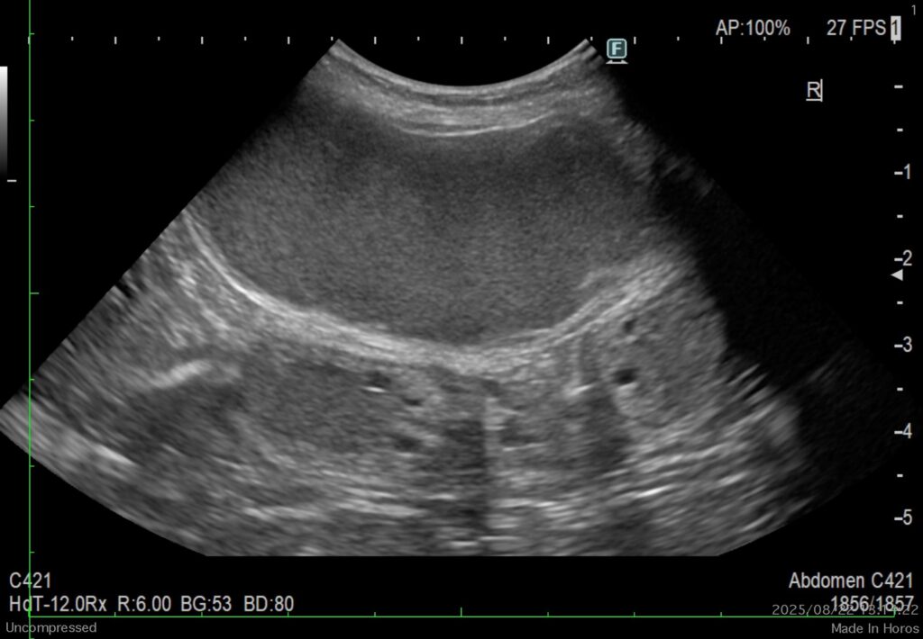
超音波検査で子宮内拡張所見あり(内容物の混濁)、膀胱内に3cm大の結石(他砂粒状の石も多量)。


診断
子宮蓄膿症、膀胱結石摘出
治療
(ope)子宮卵巣全摘出、膀胱切開による結石摘出。
術後、静脈点滴と抗生剤・鎮痛剤などの投薬。二日間、尿カテーテル設置。
※以下、摘出した部位の写真です(閲覧注意)
↓
↓
↓


↓
↓
↓

考察
今回の急性の消化器症状や食欲低下は子宮蓄膿症によるものと考えられました。
膀胱結石は偶発的な所見でしたが、比較的若くて体力もあり、麻酔も安定していたため、同時に摘出を行いました。
結石はストラバイト結石の溶解可能な結石でしたが、この大きさや数で増えてしまうと食餌だけでの溶解はかなり困難になる場合があります。
子宮蓄膿症の病態がより進行する前に治療できましたので、手術して2日後には元気を取り戻してくれました。