CASE
INTRODUCTION
症例紹介
膝蓋骨脱臼と診断されたトイ・プードルのケース
かかりつけ医で膝蓋骨脱臼と診断され、治療の相談のために当院に来院したトイ・プードルの症例をご紹介します。
プロフィール
動物種:犬
品種:トイ・プードル
年齢:1歳齢
性別:メス
主訴・診察内容
かかりつけ医で膝蓋骨脱臼を指摘されたため、治療の相談で当院に来院。
診察・検査結果
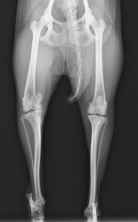
・右膝:膝蓋骨内方脱臼Grade3、クリック音(+)。明らかな痛みはないが、歩行時に脱臼すると右脚を挙上してぴょんぴょん跳ねる
・左膝:膝蓋骨内方脱臼Grade2
・レントゲン検査にて、右膝膝蓋骨の内方脱臼

診断
膝蓋骨内方脱臼(Grade3)
治療内容
(ope)滑車溝造溝術、脛骨粗面転移術など
※以下、術中の写真です(閲覧注意)
↓
↓
↓

滑車溝造溝術

関節包および筋膜の縫縮
↓
↓
↓

術後ロバートジョーンズ包帯(数日程度)

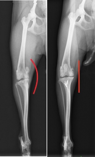
(左)術前レントゲン
(右)術後レントゲン
脛骨粗面転移術はすべての症例に適応するわけではありませんが、脛骨粗面の内側への変位が強い場合にアライメント矯正のため行っています。アライメント矯正とは、膝回りの骨や関節を正常な位置配列にすることで、今回の場合は大腿骨滑車に対して脛骨粗面が正面にくるように外側に動かしています。(レントゲンの赤線)
インプラント(ピン)が残りますが、問題を起こさない場合はそのまま残しておきます。(まれに時間の経過により抜けてくる場合があり、その場合は抜ピンを行います)
手術直後
術後1ヵ月
基本的に、手術直後から足は使えます。
術後から抜糸までは10日間程度、さらに2~4週間程度で徐々に歩き方の違和感はなくなっていきます。
しっかり治して、これからも元気に走り回ってくれると嬉しいですね。